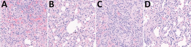
A는 코로나 델타 변이에 직접 감염된 실험용 개의 폐조직이며 B는 델타 변이에 전파 감염된 개의 폐조직이다. C와 D는 각각 오미크론 변이에 감염된 실험용 개와 전파 감염된 개의 폐조직이다. 모든 사진에서 대식세포와 림프구 등이 증식하는 바이러스성 폐렴 증상이 관찰된다./서울대·전북대 연구진 제공

국내 연구진이 코로나 변이 바이러스가 개들끼리도 전파될 수 있다는 사실을 처음으로 입증했다. 개에서 개로 전파되며 만들어진 변이 바이러스가 다시 사람을 감염시킬 수 있다는 우려가 나온다.

서울대 수의대 송대섭 교수와 전북대 유광수 연구관 등 공동 연구팀은 개를 이용한 실험을 통해 델타와 오미크론 등 코로나 변이 바이러스가 개들끼리 전파된다는 사실을 확인했다고 1일 밝혔다. 이번 연구는 미 질병통제예방센터(CDC)가 발간하는 국제 학술지 ‘신종 감염병’ 최신호에 실렸다.

연구진은 생후 9개월된 수컷 비글을 실험 대상으로 정했다. 실험용 개들의 콧속에 각각 ‘델타’와 ‘오미크론’ 바이러스를 넣어 감염시킨 뒤 24시간 후 건강한 개와 합사해 열흘간 상태를 지켜봤다. 그 결과 코로나를 주입한 개와 건강했던 개 모두에게서 코로나 바이러스가 검출됐다.

모든 개에게서 체중 감소나 발열 등 코로나 감염의 임상 증상이 보이지는 않았지만 폐에서 감염 합병증인 바이러스성 폐렴 증상이 확인됐다. 개의 콧물을 통해 코로나 바이러스가 배출됐으며, 개들끼리 직접 접촉하면서 건강했던 정상견도 바이러스에 감염된 것으로 나타났다.

연구진은 이번 연구를 통해 사람 간 전파되던 코로나 바이러스가 개들끼리도 전염되는 것은 물론 개 등 다른 동물을 넘나들며 전파될 수 있음을 확인했으며, 이렇게 만들어진 변이 바이러스가 다시 사람에게 전파될 우려가 있다고 경고했다. 연구진은 논문에서 “반려동물을 통한 코로나 변이 생성을 감시할 필요가 있고, 앞으로 반려동물의 코로나 백신 접종으로 동물 감염이 사람에게 전파되는 일을 예방할 수 있을 것”이라고 밝혔다.